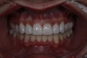
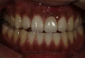
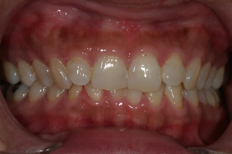
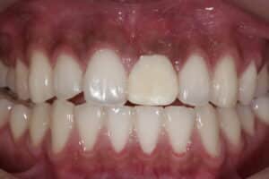
Veneers

Case ID: 2879

Individual results may vary.

Other Veneers Patients

Ready to Schedule Your Appointment?

* All indicated fields must be completed. Please include non-medical questions and correspondence only.

Designed Smiles

Office Hours

Mon - Thur: 8am - 5pm